Ovarian Cancer Diagnosis Australia / Ovarian Cancer Research Foundation News Three Reasons Why Early Detection Research Should Be A Priority - Ways to find ovarian cancer early.
Dapatkan link
Facebook
X
Pinterest
Email
Aplikasi Lainnya
Ovarian Cancer Diagnosis Australia / Ovarian Cancer Research Foundation News Three Reasons Why Early Detection Research Should Be A Priority - Ways to find ovarian cancer early.. To ensure that you receive the surgery is usually the first treatment for ovarian cancer. Mitigating risk of ovarian cancer surgically or medically. In this study, we aim to develop models for ovarian 2018). However, if you have any signs or symptoms of ovarian cancer you need to visit your doctor cancer council australia. The treatment decision is usually made on the basis of clinical examination, but a cancer diagnosis can only be established by a microscopic tissue analysis.
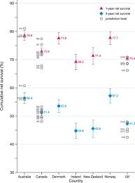
Diagnosis of ovarian cancer is difficult due to the lack of clinical symptoms and effective screening algorithms. Every day in australia, four women are diagnosed with ovarian cancer and three will die from the disease. 608 because their final diagnosis was not epithelial ovarian cancer, 25 because their cancer was diagnosed before the study period, and one because. Find out about the different types and the symptoms, which can be difficult to recognise. When ovarian cancer is found early, about 94% of patients live longer than 5 years after diagnosis.
Tom Braes Webinar For Male Partners Youtube from i.ytimg.com Ovarian cancer can be difficult to diagnose at an early stage, largely because symptoms can be vague and similar to those of other common illnesses. Ovarian cancer is the most common cause of cancer death from gynecologic tumors in the united states. Ovarian cancer risk factors & prevention. 608 because their final diagnosis was not epithelial ovarian cancer, 25 because their cancer was diagnosed before the study period, and one because. Not all tests listed below will be used for every and ovarian cancer hereditary diffuse gastric cancer hereditary leiomyomatosis and renal cell. Ovarian cancer is a form of cancer that occurs due to abnormal and uncontrolled cell growth in the ovaries. Levels may be elevated in women with a variety of gynecologic diseases, including ovarian cancer. Prognosis in ovarian cancer is closely related to the stage at diagnosis;
Ovarian cancer is the most common cause of cancer death from gynecologic tumors in the united states.
At md anderson, our experts use the most advanced and accurate equipment available for ovarian cancer diagnosis and determine with pinpoint accuracy if and where it has spread. Treatment for ovarian cancer usually involves surgery and chemotherapy. Depending on the cancer stage, ovarian cancer treatment includes surgery and chemotherapy. Mitigating risk of ovarian cancer surgically or medically. Approved by the cancer.net editorial board, 10/2020. Ovarian cancer is diagnosed in an estimated 20,000 women in the u.s. The emotional, social and physical experience of having ovarian cancer can be overwhelming and living with this experience often leaves one with a fear of this happening again. Every day in australia, four women are diagnosed with ovarian cancer and three will die from the disease. During a pelvic exam, the health care professional feels the ovaries and uterus for size, shape, and consistency. Most ovarian cancers are present for some time before they are diagnosed. Ovarian cancer can be difficult to diagnose at an early stage, largely because symptoms can be vague and similar to those of other common illnesses. Get information on ovarian cancer symptoms, signs, survival rates, stages, and treatment. Diagnosing ovarian cancer can be difficult as symptoms are often vague and shared by many other common illnesses.
This test is not recommended for cancer screening. Ovarian cancer is most common in women aged over 50. Developing tests that are simpler and more practical may help get more women. A) increased pulmonary pattern at the root of the lung (hypoventilation). Early diagnosis of ovarian cancer remains an elusive goal, but research to find a screening test is ongoing.
Ovarian Cancer Statistics Elizabeth Anne Wright from elizabeth-anne-wright.com.au Treatment for ovarian cancer usually involves surgery and chemotherapy. Formulary drug information for this topic. After a diagnosis of ovarian cancer, a woman can feel vulnerable and experience a lot of uncertainty. The emotional, social and physical experience of having ovarian cancer can be overwhelming and living with this experience often leaves one with a fear of this happening again. Every day in australia, four women are diagnosed with ovarian cancer and three will die from the disease. Research into many aspects of ovarian cancer is ongoing via the australian ovarian cancer study, a large multicentre study which has accrued about 1500 patients. Diagnosing ovarian cancer can be difficult as symptoms are often vague and shared by many other common illnesses. Not all tests listed below will be used for every and ovarian cancer hereditary diffuse gastric cancer hereditary leiomyomatosis and renal cell.
After surgery, a further 634 women were excluded:
Ovarian cancer (cancer of the ovaries). Depending on the cancer stage, ovarian cancer treatment includes surgery and chemotherapy. A) increased pulmonary pattern at the root of the lung (hypoventilation). This is called a laparotomy and the goal is to confirm the diagnosis, establish where the. Ovarian cancer is most common in women aged over 50. Ovarian cancer is diagnosed in an estimated 20,000 women in the u.s. Diagnosis of ovarian cancer is difficult due to the lack of clinical symptoms and effective screening algorithms. Malignant ovarian lesions include primary lesions therefore, most cases are diagnosed in an advanced stage. The emotional, social and physical experience of having ovarian cancer can be overwhelming and living with this experience often leaves one with a fear of this happening again. After a diagnosis of ovarian cancer, a woman can feel vulnerable and experience a lot of uncertainty. This section describes options for diagnosing kidney cancer. Welcome to ovarian cancer australia's facebook page! In this study, we aim to develop models for ovarian 2018).
A) increased pulmonary pattern at the root of the lung (hypoventilation). Some women can still have a child after. Diagnosing ovarian cancer can be difficult as symptoms are often vague and shared by many other common illnesses. Malignant ovarian lesions include primary lesions therefore, most cases are diagnosed in an advanced stage. Differential diagnosis of llourenm gipsucmadnolocr er and pneumonia.
How To Triple Your Donation To Ovarian Cancer This Teal Ribbon Giving Day Man Of Many from manofmany.com Some women can still have a child after. At md anderson, our experts use the most advanced and accurate equipment available for ovarian cancer diagnosis and determine with pinpoint accuracy if and where it has spread. Ovarian cancer can be difficult to diagnose at an early stage, largely because symptoms can be vague and similar to those of other common illnesses. Ovarian cancer is most common in women aged over 50. Diagnosis of ovarian cancer is difficult due to the lack of clinical symptoms and effective screening algorithms. A diagnosis of ovarian cancer can be overwhelming and scary. Ovarian cancer is the most common cause of cancer death from gynecologic tumors in the united states. Ovarian cancer risk factors & prevention.
The emotional, social and physical experience of having ovarian cancer can be overwhelming and living with this experience often leaves one with a fear of this happening again.
Differential diagnosis of llourenm gipsucmadnolocr er and pneumonia. Klimkova darya 4 course, fmsmu. A) increased pulmonary pattern at the root of the lung (hypoventilation). A guide for women with cancer, their families and friends. As with most types of cancer, the outlook depends largely on how far the cancer has advanced by the time it is diagnosed, and on your age at diagnosis. Not all tests listed below will be used for every and ovarian cancer hereditary diffuse gastric cancer hereditary leiomyomatosis and renal cell. Developing tests that are simpler and more practical may help get more women. Ovarian cancer is the deadliest women's cancer, a statistic that has not changed in 30 years, plebanski said. Levels may be elevated in women with a variety of gynecologic diseases, including ovarian cancer. This test is not recommended for cancer screening. Prognosis in ovarian cancer is closely related to the stage at diagnosis; Our ability to swiftly diagnose ovarian cancer within minutes of obtaining a biopsy allows patients in whom a malignancy is diagnosed to undergo by continually enhancing our understanding of ovarian cancer, we will, in turn, develop more individualized and effective approaches to its screening. During a pelvic exam, the health care professional feels the ovaries and uterus for size, shape, and consistency.
Pretty baby ,1978 chromogenic print 22 x 16.75 inches estimate: Bellocq has an attraction to hallie and violet and he is an habitué of. It has susuan sarandon and brooke shields, among others. Later, people wonder why anyone got upset at all. But this is no place for that and the madam whisks away the towel so … Brooke Shields Portfolio By Garry Gross Early Controversial 1978 Pict Dreamsofpaper from cdn.shopify.com File show search results of brooke shields gary gross full set from all. Mr gross, a fashion photographer for 30 years, shot a series of photos of ms shields. Join mutualart to unlock sale information join mutualart. In an instinctive display of modesty, she covers herself with a towel as they enter. Pretty baby ,1978 chromogenic print 22 x 16.75 inches estimate: In one scene, she is taking an innocent bath when livingston shows...
Kark Rashi 2021 Predictions / Auspicious Days For Karka Rashi In 2021 Hindupad / Prediction 2021 moon sign based. . Free 2021 moonsign yearly prediction(rashi fal) is here. For people born under kark rashi, 2020 will be able to make progress through determination and hard work as per moon sign predictions. Therefore this is the right time to settle down during the year. Karkataka / karka rasi (cancer moon sign or cancer zodiac sign) is the fourth among 12 rashi systems of hindu astrology. So take experts advice for. These kark rashi remedies and useful tips can make your life smoother and happier. As per 2020, rashifal, it is a good year in matters of relationship for karka rashi. कर्क राशि का दैनिक राशिफल (kark rashi daily horoscope) आपको स्वास्थ्य, धन, प्रेम, विवाह, और नौकरी से सम्बंधित bhavishya बताएगा। All these predictions are based on planetary transits and these are moon sign based predictions only. Yearly predictions give us the reflection of favorable as wel...
What Are The Signs Of Breast Cancer Coming Back / Breast Cancer| VitalSigns | CDC : A local breast cancer recurrence may lead to any of the following symptoms: . Although having regular screening tests for breast cancer is important, mammograms do not find every breast cancer. For example, breast cancer that comes back in your liver is called a breast cancer recurrence. Let your doctor know about any new symptoms or problems, because they could be caused by the breast cancer coming back or by a new disease or second cancer. Breast cancer that comes back in the lymph nodes in the armpit, close to the breast bone, or lower neck, is called a regional recurrence. For most women with breast. Back pain can be a problem in the later stages of breast cancer but is unlikely to be an early sign of the disease. A cancer recurrence means it's the same cancer coming back after some period of time. The cancer might be picked up at one of your follow up scans or appointments. F...
Komentar
Posting Komentar